Die Dopplersonografie bietet während der Schwangerschaft eine sichere und detaillierte Einsicht in die Blutzirkulation des Ungeborenen.
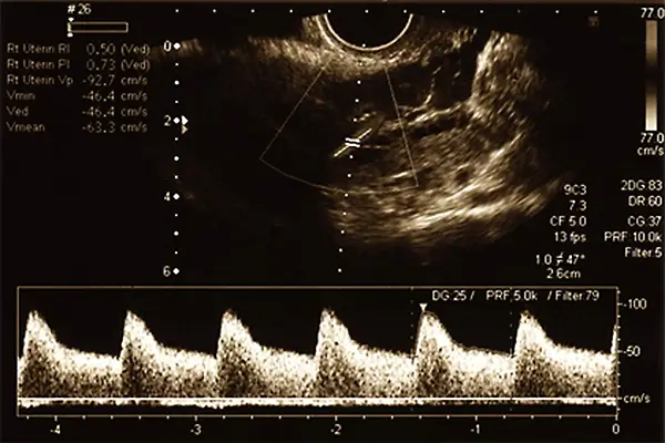
Die Dopplersonografie, eine spezielle Form des Ultraschalls, wird in der Schwangerschaft eingesetzt, um neben den Organstrukturen des Ungeborenen auch die Blutströmung in den Gefäßen zu beobachten. Diese Untersuchung ist für Mutter und Kind völlig ungefährlich und ermöglicht es, den Blutfluss in wichtigen Gefäßen wie der Nabelschnur oder der Gebärmutter zu messen. So können Engstellen oder Unregelmäßigkeiten frühzeitig erkannt werden.
Die Duplexsonografie kombiniert herkömmliche Ultraschallbilder mit der Dopplersonografie und ermöglicht es dem Arzt, sowohl den Blutstrom als auch die Struktur der Gefäßwände gleichzeitig zu beurteilen. Dieses Verfahren bietet eine detailliertere Einsicht und ist besonders wertvoll für eine umfassende pränatale Diagnostik.
